隱形矯正
案例一
陳同學 22歲
因為前牙錯咬、牙齒凌亂,身邊的同學都開始矯正牙齒,因此也想讓自己變得更美,便開始了矯正的路程……
矯正時間 : 12個月



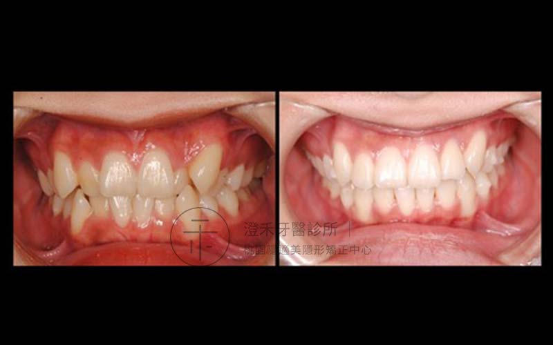
案例二
呂小姐 33歲
前牙擁擠、深咬、咬合面向右下傾斜、左上缺牙
矯正時間 : 1年4個月

案例三
潘同學 15歲
空間不足造成牙齒凌亂不好看,希望經過矯正可以讓笑容更燦爛更漂亮,
前牙錯咬、犬齒生長位置受阻,將第一小臼齒拔除,使犬齒有空間長出
矯正時間 : 14個月 (目前持續治療中)

案例四
19歲,學生,牙弓窄沒有多餘空間使牙齒正常發育,造成齒列擁擠,使前牙牙齒有些旋轉及前後交疊。牙齒凌亂的情況下,會有許多死角不易清潔,長期下來容易造成蛀牙。不僅清潔不易,還會影響美觀。雙重情況下,透過矯正方式。翁同學經過數月與診所配合,牙齒排列整齊了,口腔照護也變得方便許多,重點是笑起來變得更甜更美!
你也有同樣的困擾嗎?沒關係,你可以放心交給邱醫師!

案例五
也許有些人有牙縫大的困擾,如果你是後牙牙縫大也許較不易被人發現,但今日案例,年約40歲的女性,牙縫大的困擾在於門牙。門牙不僅是門面,更是張嘴後第一個被看見的地方。不論是吃東西.開口笑,都是最顯眼的位置。
因為困擾了許久,患者接受了隱適美隱形矯正方式,讓牙縫關緊,也把患者有開咬的情況也一起調整到正確的咬合關係。不僅美觀也能輕易切斷食物正常飲食。如果也想檢視門面是否完美的你/妳

案例六
35歲男性,最在意嘴型輪廓較為突出,想改善牙齒不整齊之外,右上方的犬齒為埋伏齒 經醫師診斷,透過隱適美矯正方式,讓埋伏在裡面很久的犬齒長出。在醫師巧手設計,花了一年左右的時間,讓看不見的牙齒,悄悄地跑出來,實在太厲害了

聲明:本所療程皆由專業醫生評估後,依照個人口腔狀況進行治療。因每位患者個別狀況不同,術後狀況也不盡相同,需親來本所由醫生評估。