兒童矯正
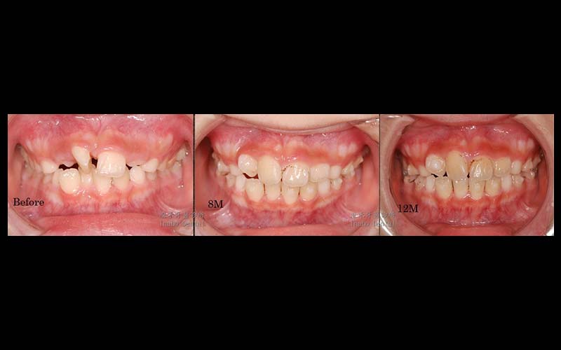
案例一
年齡:8歲
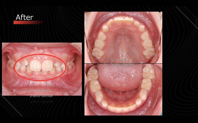
媽媽希望提早改善他牙齒凌亂不整齊,因門牙不易咀嚼食物,配戴了隱適美矯正器後,漸漸讓牙齒變整齊了,食慾也變好了。在黃金時期改善咬合不正,讓學童在生長發育的過程中可以更順利。
目前已矯正12個月




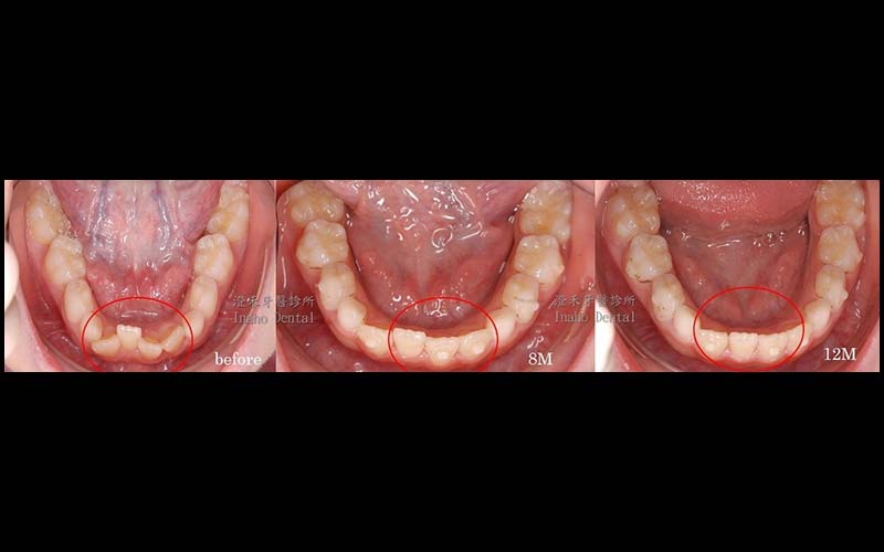
案例二
學齡兒童 目前:9歲
側門牙遲遲未長出,使用了兒童隱適美的矯正方式,牙齒已經有足夠的空間長出來。
矯正時間 : 1年



案例三
年齡15歲 - 高中生
本身有錯咬,合併咬合關係是三級咬合,導致犬齒無法順利的長出來,經評估後,必須把第一小臼齒拔除才能有多的空間讓犬齒正常生長。
這位同學非常有耐心的配合,經過一年2個月的時間,犬齒已萌發到正確位置,目前正準備將縫隙關閉,使牙齒排列更整齊,加上邱醫師微笑曲線的設計,我相信再過不久,會看到更完美的笑容。

案例四
下巴短,有深咬情況,深咬差距非常大,讓暴牙的情況更為明顯。為了讓暴牙的情況改善,拔了上顎的兩顆小臼齒。拔完牙後上顎齒列後縮,也間接改善深咬,再加上微笑曲線的設計,笑起來更完美。
這1年多的時間,透過醫師的巧手,年僅13歲的同學長期配合配戴,才有的這樣的成果。
恭喜你,獲得更有自信的笑容。

案例五
年齡:7歲
評估當時媽媽希望可以改善口呼吸及門牙有縫隙,搭配使用MRC肌功能矯正和隱適美矯正器。
矯正療程:8M


案例六
年齡:8歲
初期配戴MRC牙托,第二階段配戴隱適美矯正器,改善深咬、小下巴,以達到擴弓成果。
矯正療程:10M

聲明:本所療程皆由專業醫生評估後,依照個人口腔狀況進行治療。因每位患者個別狀況不同,術後狀況也不盡相同,需親來本所由醫生評估。